Casi Clinici

Caro visitatore, benvenuto nella galleria di alcuni miei casi clinici. Tutte le seguenti cure sono state eseguite da me presso il mio studio in Torrice (Fr), le foto sono state scattate in poltrona con il consenso del paziente. Buona visione.

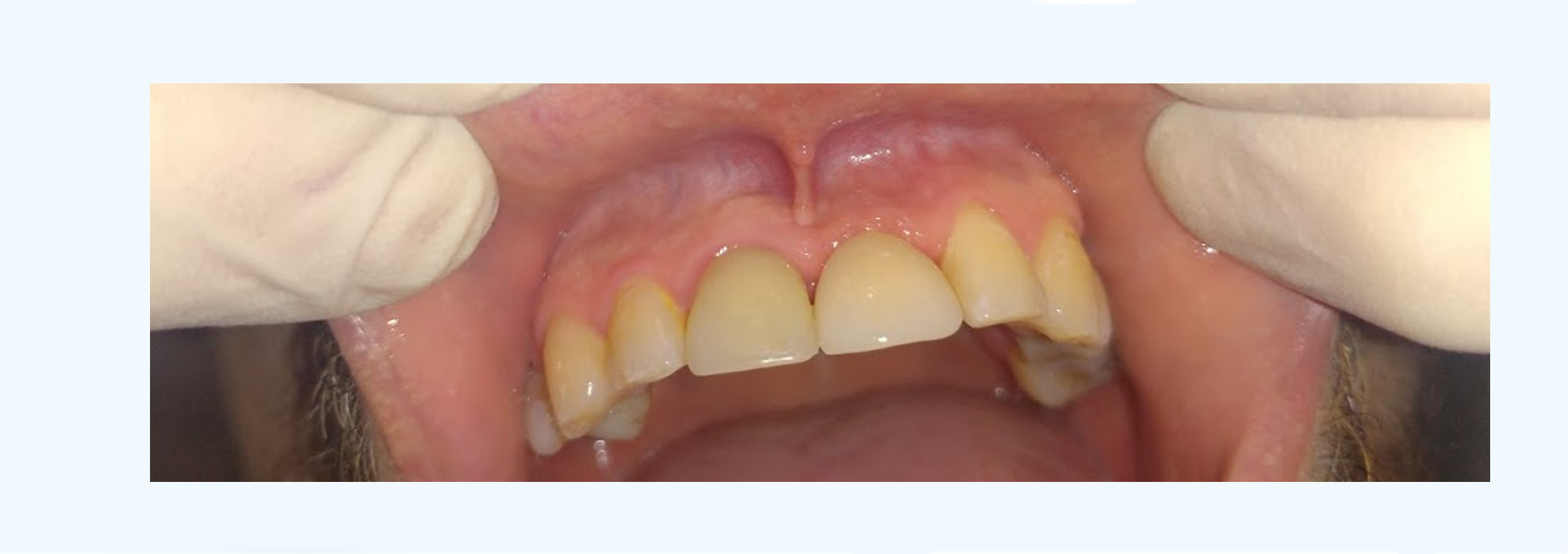
Frattura dell'incisivo - caso complesso

Caso risolto presso il mio studio di Torrice

Il paziente di circa 30 anni si presenta in studio con l’incisivo superiore di sinistra fratturato (foto 1). Si procede all’estrazione del dente (foto 2 ) ed al contestuale innesto di osso eterologo (foto 3 ). Viene utilizzata la corona del dente come provvisorio (foto 4) e dopo 6 mesi ( tempo necessario per la guarigione dell’osso ) viene effettuato un intervento di implantologia osteointegrata con un impianto da 4.1mm di diametro per 10mm di lunghezza (foto 5). Dopo quattro mesi si procede con la protesizzazione del moncone (foto 6) con una capsula in metallo ceramica. Viene effettuata una foto finale dopo 14 giorni ( ultima foto ), è possibile notare l’ottima risposta dei tessuti perimplantari ( gengiva ) ed il naturale aspetto della protesi (capsula ). La capsula è stata realizzata presso il laboratorio odontotecnico di Danilo Arduini – Torrice.
Image
Image
Image
Image

Sbiancamento dentale in dente necrotico

Caso risolto presso il mio studio di Torrice

Questa giovane paziente dell’età di 25 anni, accusava un forte disagio a causa di una importante discromia in zona estetica(foto 1). L’incisivo centrale si era scurito dopo essere stato mal curato, presso altra sede, con devitalizzazione a seguito di patologia cariosa . Dalla lastrina endorale ( foto 2 ) risulta che il cemento canalare utilizzato occupa una porzione coronale in eccesso e, con l’apertura del dente emerge che è stato utilizzato un tipo di cemento non comune di colore grigio ( foto 3 ). Viene quindi effettuata la rimozione del cemento e uno sbiancamento tenace del dente realizzato in 3 sedute ( foto 4 ). Il risultato finale appare naturale e armonico con grande soddisfazione della paziente( foto 5 ).  
Image
Image
Image

Frattura elementi di ponte

Caso risolto presso il mio studio di Torrice

Caso Clinico Complesso: il paziente si presenta in studio con ponte in metallo - ceramica realizzato circa 25 anni prima (foto 1 ) con evidente mobilità. Effettuata la rimozione del ponte i denti pilastro appaiono per metà completamente rovinati (foto 2 ). Si procede con la ricostruzione dei denti al di sotto del ponte tramite l'ausilio di perni estetici in fibra di vetro ( foto 3 e 4 ). Il ponte fortunatamente viene completamente recuperato con un non indifferente risparmio economico.
Image
Image
Image

Frattura di un perno

La paziente di circa 60 anni, presenta la frattura di un perno metallico all’interno del canino (foto 1), il quale svolge funzione di pilastro di un ponte in porcellana rotto in due pezzi. Viene effettuata una lastrina volta a verificane la lunghezza al fine di rimuoverlo (foto 2). Il perno rimosso viene sostituito da uno nuovo in fibra di vetro (foto 3), ed effettuata la ricostruzione del nuovo moncone per la capsula provvisoria (foto 4). Viene preparato infine il nuovo ponte, cementato definitivamente (foto 5-6). La paziente è rimasta pienamente soddisfatta mostrandosi soprattutto sollevata per aver evitato l’estrazione del dente che avrebbe portato alla riabilitazione tramite protesi mobile in resina (dentiera). Il nuovo ponte è stato realizzato nel laboratorio Odontotecnico di Danilo Arduini presso Torrice. 
Image
Professional Dental Solution
Specializzato in Odontoiatria e Protesi Dentaria presso l'università degli studi di Roma "Sapienza". Iscritto all'ordine dei Medici chirurghi e degli Odontoiatri della provincia di Frosinone.

Studio : strada Regionale Casilina 104, 03020 - Torrice (FR). Tel. 0775.300470